21 Aug The Power of Early Treatment: Exploring Interceptive Orthodontics
The Power of Early Treatment: Exploring Interceptive Orthodontics
By Island Hospital | August 21, 2024 12:00:00 PM
Medical Reviewer: Dr. Chang Chiew Sinn, Orthodontist
Have you heard of interceptive orthodontics?
Unlike traditional orthodontics, which typically begins in the teenage years, interceptive orthodontics focuses on early intervention, often starting between ages 6 and 12.
This innovative strategy aims to guide the growth and development of a child’s jaw and teeth, potentially reducing the need for more extensive treatment later in life and setting the stage for a healthier, more balanced smile.
In this comprehensive guide, we’ll explore the world of interceptive orthodontics, shedding light on why your child might need it, how it works, the right time for treatment, common types of treatment, and the myths surrounding it.
Reasons Your Child Needs Interceptive Orthodontics
Interceptive orthodontics can address a wide range of dental issues. Here are some of the common ones:
- Delayed tooth eruption
- Extra teeth
- Early loss of baby teeth
- Overcrowding teeth
- Crossbites (Your upper teeth bite the inside of your lower teeth)
- Overbites (Your upper front teeth overlap your lower front teeth significantly)
- Open bites (There’s a gap between your upper and lower teeth when you bite down)
- Protruding front teeth (Your front teeth stick out more than normal)
By performing interceptive orthodontics during a child’s developmental years, orthodontists can influence the growth patterns of the jaw and ensure that permanent teeth emerge in optimal positions.
This proactive approach often reduces the complexity of orthodontic treatment such as the need for tooth extractions later in life, preserving the natural dentition (arrangement of teeth) of your child and maintaining the integrity of their dental arch.
On the other hand, addressing these dental issues early on can prevent or minimise many complex problems, leading to shorter and less intensive orthodontic treatments in the future. This not only saves time but can also result in cost savings for families.
The aesthetic benefits of interceptive orthodontics should not be underestimated either. As your child’s jaw and teeth develop properly after undergoing early intervention, their entire facial structure can be positively impacted.
This leads to a more balanced and harmonious appearance, which will significantly boost their self-esteem and confidence.
Lastly, interceptive orthodontics can improve your child’s oral hygiene. Since properly aligned teeth are easier to clean, they help reduce the risk of cavities, gum disease, and other oral health issues. This sets the foundation for a lifetime of good oral health habits.
The Science Behind Interceptive Orthodontics
The fundamental principle behind interceptive orthodontics is to guide the growth of the jaw bones and influence the positioning of the emerging permanent teeth.
Typically, interceptive orthodontics includes these aspects:
- Growth Modification: During childhood, the jaw bones are still developing and are more malleable. Interceptive orthodontics uses this plasticity to guide your child’s jaw growth, creating more space for teeth and potentially correcting crossbites.
- Space Management: As the permanent teeth of your child begin to erupt, interceptive treatments can help manage the space in their dental arches by preserving room for unerupted teeth or extracting primary teeth to alleviate crowding.
-
Habit Correction: Some oral habits, like thumb sucking, tongue thrusting, or mouth breathing, can affect dental alignment and jaw development.
Interceptive orthodontics can address these habits early, often using special appliances, to prevent long-term issues.
- Selective Tooth Movement: In some cases, specific alignment issues of your child will be addressed, setting the stage for the smoother eruption of the remaining permanent teeth.
The Right Time for Interceptive Orthodontics
Timing is key to achieving better intervention results.
Typically, interceptive orthodontics is implemented between 6 and 12 years old during the mixed dentition stage. This is a transitional stage in dental development during which a child’s mouth contains a mix of baby and permanent teeth.
During this time, a child’s jaw is still growing, and their permanent teeth are coming in. This makes it an ideal time for orthodontists to guide proper jaw growth and tooth eruption, potentially avoiding or minimising more severe orthodontic issues down the line.
This is also why the American Association of Orthodontists (AAO) recommends an orthodontic screening for all children by age 7-8, as this allows potential dental issues to be identified early.
You may also be interested in:
Common Interceptive Orthodontic Treatments
Interceptive orthodontics employs various treatments to address dental and jaw issues in growing children. Let’s explore some of the most common interventions:
1. Space Maintainers

Photo by Nadia Mohamed – ResearchGate
Space maintainers are used when a child loses a baby tooth prematurely.
These devices physically occupy the space left by the lost tooth, preventing adjacent teeth from shifting into the gap and thus preserving the space for the permanent tooth to erupt properly.
2. Palatal Expanders

Photo by Graziano Montaruli – ResearchGate
Palatal expanders can widen the upper jaw and create more space for permanent teeth, potentially treating dental issues like overbites, overcrowded teeth, and impacted teeth.
These appliances gradually widen the upper jaw by applying gentle pressure to the palatal bones, which are still malleable in children.
3. Removable Appliances

Photo by MyHealth
Removable appliances are usually used to perform minor tooth movements and correct dental problems, including simple anterior crossbites (the upper front teeth fit behind the lower front teeth), minor tooth rotations, and small gaps between teeth.
These removable devices use springs or screws to apply pressure to specific teeth, guiding them into the proper position.
Sometimes, removable appliances can be used to expand the upper dental arch.
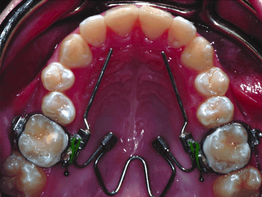
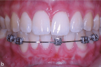
4. Partial Braces

Photo by Josef Kucera – ResearchGate
As indicated by its name, partial braces (or limited braces) is an orthodontic treatment designed to address dental issues involving only one tooth or several teeth, such as specific alignment issues and preparation for comprehensive dental treatment.
While performing partial braces treatment, the orthodontist selects the teeth that require adjustment and places brackets and wires only on those chosen teeth.
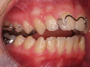
5. Habit-Breaker Appliances

Photo by Semantic Scholar
Habit-breaker appliances serve as passive interventions to stop oral habits that can affect tooth alignment and jaw development, including thumb sucking and tongue thrusting.
These appliances work by making these habits uncomfortable or impossible to continue, thereby helping to correct the dental misalignments caused by these behaviours.
6. Functional Appliances

Photo by Nature
These appliances are used to alter the position of the jaw and surrounding muscles, encouraging proper jaw growth and alignment.
Functional appliances address dental problems like overbites, underbites and jaw size discrepancies.
7. Tooth Extraction

Photo by Freepik
Strategic removal of certain teeth can create space in crowded dental arches, alleviating various dental issues.
This includes crowded teeth, impacted teeth, extra teeth, unerupted teeth, and over-retained primary teeth, which aid in proper tooth alignment.
Indeed, interceptive orthodontic treatments are crucial for addressing specific dental issues early. However, the most effective treatment approach is highly individualised, depending on the child’s unique needs and specific orthodontic problems.
Hence, if you have any concerns about your child’s dental development, the potential need for interceptive orthodontics, or the specific interceptive treatment they should receive, we encourage you to consult our dental professionals at Island Hospital.
Our Dental Department is not only well-equipped with state-of-the-art dental equipment and technology but also staffed by experienced dental specialists who are committed to providing personalised care tailored to your child’s unique needs.
Schedule an appointment with us today and let our expert team guide you through the options for your child’s orthodontic care. Your child’s journey to optimal dental health starts here at Island Hospital!
Myths About Interceptive Orthodontics
Despite its growing popularity, interceptive orthodontics is still surrounded by several misconceptions. Let’s debunk some common myths:
1. It’s too early to start orthodontic treatment at age 7 or 8.
Reality: It’s actually an ideal time to start.
Typically, interceptive orthodontics is implemented between 6 and 12 years old. During this period, children are in the mixed dentition stage, where their jaw is still growing and their permanent teeth are erupting.
Thus, interceptive orthodontics at this stage can guide proper jaw growth and teeth placement, potentially preventing or reducing more severe issues later on.
2. Interceptive orthodontics always involves full braces.
Reality: Indeed, full braces may be used in some cases.
However, other tools, such as space maintainers, palatal expanders, removable appliances, partial braces, habit-breaker appliances, and functional appliances, may also be used, depending on the treatment needs.
For detailed information on these interceptive orthodontic treatment tools, please refer to the previous section.
3. Interceptive orthodontics treatment is only for aesthetic reasons.
Reality: In addition to aesthetic reasons, interceptive orthodontics addresses various dental issues that can affect speech, chewing, and overall oral health.
4. If my child has interceptive treatment, they won’t need braces later.
Reality: While early treatment can reduce the complexity of later orthodontics, some children may still need a second phase of treatment in their adolescence.
5. Interceptive orthodontics is more expensive overall.
Reality: By addressing dental issues early, interceptive orthodontics can often prevent more complex (and expensive) treatments later.
Notably, many dental insurance plans also cover part of the cost of necessary orthodontic treatment, which can somehow reduce your financial burden.
6. All children need interceptive orthodontics.
Reality: Not every child requires early intervention. That’s why regular check-ups are important – they allow us to monitor your child’s development and recommend interceptive treatment only when necessary.
7. Results from interceptive orthodontics aren’t stable.
Reality: When properly planned and executed, early interceptive treatments can provide lasting benefits, especially when followed by appropriate retention.
8. Early orthodontic treatment is painful.
Reality: Modern orthodontic techniques are designed to be as comfortable as possible. While there may be some initial discomfort as the child adjusts to the appliances, it’s usually mild and short-lived.
Understanding these myths does help you make informed decisions about your child’s orthodontic care. However, to determine the best treatment approach for your child’s unique needs, please consult a qualified orthodontist.
You may also like:
Your Family’s Dental Health Journey: From Interceptive Orthodontics to Lifelong Smiles at Island Hospital
As we’ve explored, interceptive orthodontics plays a crucial role in shaping healthy smiles from an early age. But your family’s dental health journey doesn’t end there.
At Island Hospital, our comprehensive dental services extend far beyond interceptive orthodontics; we’re committed to supporting your oral health at every stage of life!
For the little ones, we offer Children’s Dental Screening, which includes a thorough cleaning and professional fluoride application.
For adults looking to brighten their smile, we provide 2 teeth-whitening packages:
- Philips Zoom! Home Whitening Kit: This kit includes a custom-fitted teeth whitening tray, 2 Philips Zoom! whitening gel tubes, and 1 retainer box.
- Teeth Whitening with Philips Zoom! Service: Scaling and polishing services are included.
As for seniors, you can benefit from our Golden Smile package, which is inclusive of screening and a set of dentures.
Ready to start your family’s journey to optimal oral health? Book an appointment with our experienced dental team today!
Should you have any enquiries, feel free to contact us.
FAQ
What is interceptive orthodontics?
Interceptive orthodontics is an early intervention approach in dental treatment aimed at addressing and correcting orthodontic issues in children, typically between the ages of 6 and 12.
This proactive method focuses on guiding the growth and development of a child’s jaw and teeth to prevent more severe dental problems later in life.
Visit this section to discover why your child may need interceptive orthodontics treatments.
What age is interceptive orthodontics for?
Interceptive orthodontics is typically recommended for children between the ages of 6 and 12, during the mixed dentition stage when they have both baby and permanent teeth.
Refer here for more information on the right time for your child to receive interceptive orthodontics treatments.
What are the examples of interceptive orthodontic treatment?
Some of the common examples of interceptive orthodontic treatment include:
- Space maintainer
- Palatal expander
- Removable appliance
- Partial braces
- Habit-breaker appliance
- Functional appliance
- Tooth extraction
For detailed information on these interceptive orthodontic treatments, please refer to this section.
What are the advantages and disadvantages of interceptive orthodontics?
Advantages:
- Guides proper jaw growth and tooth eruption.
- Prevents more serious dental problems from developing.
- Reduces the need for extensive dental treatment in the future.
- Provides aesthetic benefits.
- Improves oral hygiene.
For detailed information on the advantages of interceptive orthodontics, please visit this section.
Disadvantages:
- Some children may not fully cooperate during the treatment, potentially affecting the treatment results.
- It demands significant parental involvement, as well as close supervision and guidance for maintaining the child’s oral hygiene and using the orthodontic equipment.
- It may incur additional costs if a two-phase treatment is needed.
What is the difference between preventive and interceptive orthodontics?
Preventive orthodontics is undertaken in anticipation of the development of dental problems, often through monitoring and simple interventions.
On the other hand, interceptive orthodontics involves active treatment to address existing dental problems or guide the growth pattern of jaws and teeth.










